Nos últimos dias acompanhei dois casos de possível neoplasia em bexiga. Em um deles, pude realizar uma ultrassonografia controle após tratamento para cistite e a imagem mudou completamente descartando a suspeita inicial de tumor e confirmando a suspeita de presença de coágulo. O outro caso já estava mais avançado, com comprometimento de ureteres e hidronefrose bilateral (mas também sem confirmação histológica). Então, achei oportuno escrever sobre o carcinoma de células transicionais (CCT).
O CCT é a neoplasia maligna de bexiga mais comum em cães. A localização mais frequente é o trígono vesical. A ecogenicidade costuma ser complexa, mais reduzida em relação à parede normal. A hidronefrose e/ou hidroureter são complicações que podem ocorrer em casos de neoplasias em bexiga. Um trabalho publicado na Veterinary Radiology and Ultrasound (Léveilée et al., 1996) comparou radiografia contrastada e ultrassonografia na pesquisa de neoplasias de bexiga e comprovou que a ultrassonografia realmente é o melhor método para detecção de tumores na bexiga. As imagens descritas nos 15 animais do estudo variavam entre massas sésseis, únicas ou múltiplas, invasivas ou não invasivas na parede; massas não invasivas pedunculares; e somente espessamento da parede na região do trígono. Algumas imagens podem ser confundidas com tumores (coágulos, cistite, cálculos). A extensão da lesão na uretra é melhor avaliada por meio de uretrografia retrógrada.
A citologia geralmente é suficiente para diagnóstico do CCT, porém existe uma possibilidade de implantação de células tumorais no trato da agulha da punção. Um artigo de 2002 (Nyland et al., 2002) relata alguns casos e sugere uso de sondagem uretral “traumática” para aquisição de células até que se saiba mais sobre a real frequência dessa complicação.
A ultrassonografia é, portanto, muito válida sempre que um paciente apresentar hematúria, estrangúria, incontinência… ou qualquer outro sintoma relacionado ao trato urinário e a minha sugestão é que o exame seja realizado antes mesmo do início de qualquer tratamento. Assim, podemos escolher o tratamento adequado e controlar o tratamento de forma mais objetiva.
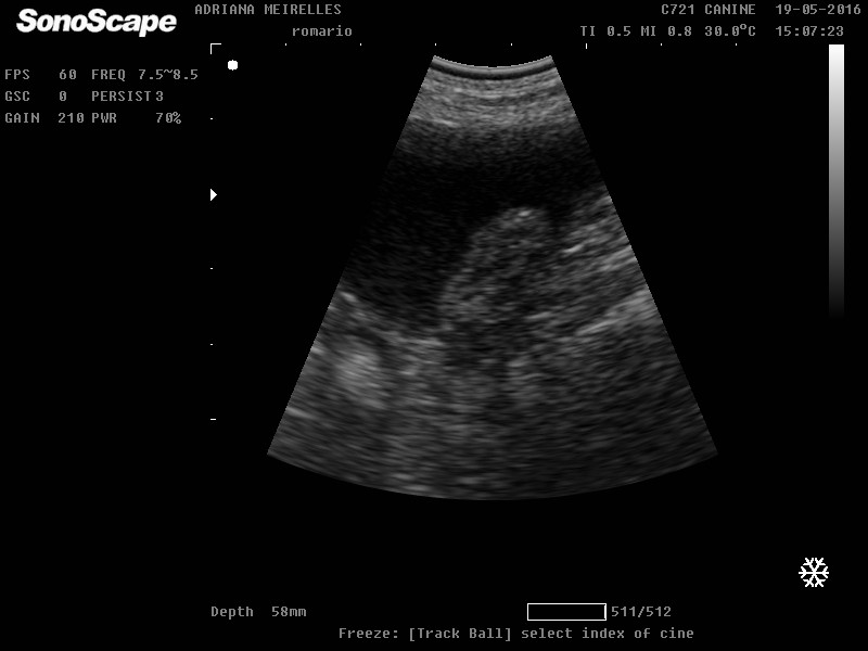
![]() |
| Bexiga de cão com espessamento e irreguluaridade na porção do trígono vesical. Possível neoplasia. |
![]() |
| Presença de estrutura oval séssil, sem mobilidade, em parede dorsal de bexiga de cão (possível coágulo, bexiga normal após 7 dias de tratamento com antibiótico). |



Deixe um comentário
Você precisa fazer o login para publicar um comentário.