A ultrassonografia e as glândulas adrenais em pequenos animais

Tempo de leitura: 3 min

Escrito por Adriana Meirelles
em 24 abril, 2016

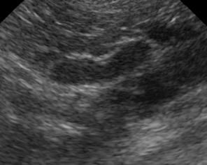
Imagem ultrassonográfica da glândula adrenal esquerda normal de um cão.

As glândulas adrenais são glândulas que produzem hormônios como aldosterona, cortisol e adrenalina. A doença mais comum em cães que envolve as glândulas adrenais é o hiperadrenocorticismo (ou síndrome de Cushing). Nela, há liberação de altos níveis de cortisol, que levam a vários sintomas como polidipsia, poliúria, polifagia, abdomen abaulado, perda de pêlos de forma simétrica e bilateral, cansaço, entre outros.
Essas glândulas podem ser avaliadas durante o exame ultrassonográfico. A adrenal esquerda é mais fácil de se encontrar porque está um pouco mais caudal que a direita. O conhecimento da sua posição anatômica nos ajuda na hora do exame. Ela fica entre o rim esquerdo e a aorta, caudal às arterias celíaca e mesentérica cranial, cranial à artéria renal. Já a glândula adrenal direita fica cranial às artérias celíaca e mesentérica cranial e justaposta à veia cava caudal.
Na imagem ultrassonográfica, as adrenais têm a cortical menos ecogênica e a medula mais ecogênica. A adrenal esquerda tem uma constrição central e pólos mais arredondados, o que faz com que pareça um “amendoim” ou “haltere de academia”. Já a direita tem forma de “vírgula” ou “bumerangue”, com extremidades assimétricas.
E o tamanho? O que é normal? Existem vários trabalhos publicados falando sobre isso e valores normais para cães variam de 1 a 5 cm de comprimento e se aceita o diâmetro máximo transversal de 0,74 cm. Alguns cães normais terão valores um pouco mais altos que isso (lembrando que é uma curva padrão). E as adrenais direitas são, na maioria das vezes, menores que as esquerdas.
Nos gatos elas geralmente ficam em localização um pouco mais cranial que o pólo cranial dos rins e são mais arrendodadas ou ovóides. Valores normais variam de 0,45 a 1,4 cm de comprimento e 0,29 a 0,53 cm de diâmetro transversal.
No hiperadrenocorticismo hipófise-dependente, o achado clássico é aumento bilateral, simétrico e uniforme das glândulas adrenais (raramente pode ser unilateral – temos que diferenciar de neoplasia primária ou metastática; também pode estar dentro do normal, novamente lembrando que é uma curva padrão, se o normal daquele paciente era baixo, o aumentado dele pode estar dentro do valor normal). O fígado constuma estar alterado, com aumento de ecogenicidade. E claro, lembrar de associar esse achado com os sinais clínicos e alterações hematológicas, bioquímicas e endócrinas.
No hiperadrenocorticismo adrenal-dependente o aumento da glândula adrenal esperado é unilateral, ocasionado por neoplasias (massas arredondadas ou ovais que crescem de forma concentrica). A ecogenicidade pode variar de sólida a complexa. Pode ocorrer mineralização (especialmente em adenocarcinomas), e portanto, sombra acústica posterior (lembrando que 30% dos indivíduos normais podem ter mineralização na adrenal). A glândula contralateral pode estar normal ou diminuída. Os tumores de cortical são mais comuns em fêmeas e raças grandes.
Podemos ainda encontrar os feocromocitomas, que são tumores de células cromafins da medula da adrenal. São totalmente diferentes dos que causam hiperadrenocorticismo, esse tumor produz adrenalina. Os sintomas são inespecíficos. Na ultrassonografia podem ser vistos como uma massa unilateral, pode ter ecogenicidades variadas. Não costumam sofrer mineralização. Podem invadir vasos próximos e causar metástases. Porém, geralmente são achados incidentais. São difíceis de diferenciar do adenocarcinoma da cortical.
Resumindo, quando encontramos uma massa unilateral na adrenal, com a adrenal contralateral normal, podemos estar diante de feocromocitoma, neoplasia adrenocortical não funcional, metástase, ou até uma neoplasia adrenocortical funcional.
Se as glândulas adrenais estiverem pequenas, podemos estar diante do hipoadrenocorticismo ou casos em que há administração exógena de corticóides. Os valores mínimos normais não estão bem estabelecidos. Alguns sinais clínicos são anorexia, vômito, diarreia, perda de peso, entre outros.
Alterações em adrenais de gatosnão são muito comuns.
Em humanos se faz punção aspirativa de adrenal, mas em animais se questiona a real vantagem do exame citológico nesses casos. Normalmente a quantidade de material é insuficiente e existe risco de hemorragia e crises hipertensivas na presença de feocromocitomas.

Glândula adrenal direita e sua proximidade à veia cava caudal.

Você vai gostar também:

Para enviar seu comentário, preencha os campos abaixo:

Deixe um comentário

3 Comentários

  • M. disse:

    O tamanho correto para as adrenais então seria 1 a 5 cm de comprimento e até 0,74 de diametro transversal? Uma adrenal com valores de 2,04 x 1,40 então seria considerado já aumentado, correto? Sou veterinária e a clinica do paciente é compatível com hiperadreno, porem o laudo ultrassonografico que me foi dado, consta como dimensões normais de adrenal.

  • Olá, o valor mais citado na literatura como limite superior da altura da adrenal é 0,74 cm. Se o paciente tem clínica de hiperadrenocorticismo e tem 1,4 cm de altura eu sugiro seguir com os testes hormonais para confirmação do diagnóstico. Abraço!

  • JUNTE-SE Á NOSSA LISTA DE SUBSCRITORES

    Entre para nossa lista e receba conteúdos exclusivos e com prioridade