A ultrassonografia e a gestação em pequenos animais

Tempo de leitura: 1 min

Escrito por Adriana Meirelles
em 14 abril, 2016

Quando se fala em ultrassonografia/ecografia, a grande maioria das pessoas pensa em gestação. Talvez pelo histórico do uso desse exame para acompanhamento gestacional na medicina humana. Em pequenos animais, também é muito importante. A avaliação da viabilidade dos fetos, tamanho da ninhada e predição do tempo gestacional pode ajudar na preparação do parto e possível necessidade de cesárea.

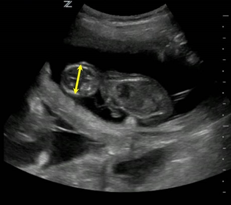
A confirmação da gestação pode ser realizada por volta de 17 dias após o pico de LH. Entre 20 e 25 dias, a única medida disponível para cálculo da idade gestacional é o diâmetro da vesícula embrionária. O embrião passa a ser visível a partir de 26 dias e a partir de então, o comprimento cabeça-nádega e o diâmetro do corpo podem ser mensurados. O diâmetro da cabeça (biparietal) pode ser medido com mais precisão a partir de 30 dias. Os estudos mostram que a precisão da predição de data de parto (65 dias ± 2 dias) é de 87%. A predição tem mais erro em raças pequenas ou gigantes e para isso se usa um fator de correção de mais um dia para as raças pequenas (<9kg) e menos dois dias para as gigantes (>40 kg). Os cálculos não são muito confiáveis no final da gestação, pois ocorre maior variação de crescimento fetal nesse momento. A observação do desenvolvimento dos órgãos do feto também pode ser utilizada para estimar a idade do feto.

O número de animais da ninhada é identificado com mais precisão com o uso da radiografia. A ultrassonografia costuma dar o número correto de animais em 65% dos casos. Os resultados são melhores quando a paciente fica tranquila durante o exame, quando o preparo antes do exame é realizado e há pouca quantidade de conteúdo no trato gastrintestinal, e claro, com a experiência do examinador. Vale lembrar que se houver morte fetal antes dos 37 dias, há reabsorção do tecido e o número da ninhada será modificado.

Muitas vezes, a paciente só é trazida para avaliação ultrassonográfica no momento das  complicações do parto. Nesses casos, a avaliação da viabilidade fetal e do sofrimento fetal (que leva em consideração a frequência cardíaca do feto) são essenciais para a decisão da conduta clínica do veterinário.
Diâmetro biparietal

Modo-M para aferição da frequência cardíaca fetal
Vesículas embrionárias

Você vai gostar também:

Para enviar seu comentário, preencha os campos abaixo:

Deixe um comentário

Seja o primeiro a comentar!

JUNTE-SE Á NOSSA LISTA DE SUBSCRITORES

Entre para nossa lista e receba conteúdos exclusivos e com prioridade