Os linfonodos fazem parte do sistema linfático e têm grande importância para o sistema imunológico, na apresentação de antígenos e sítio de localização de células do sistema imune. O corpo tem vários linfonodos e eles se localizam na rota dos vasos linfáticos.
Durante o exame ultrassonográfico do abdômen, alguns linfonodos são comumente visualizados (ex. jejunais e ilíacos mediais) e outros aparecem melhor quando estão aumentados/alterados. A ecotextura normal é homogênea e são hipoecogênicos quando comparados à gordura do mesentério.
Fiz dois desenhos esquemáticos para demonstrar os principais linfonodos do abdômen (ao longo da aorta e da veia porta). E abaixo, descrevo rapidamente a localização deles e que regiões eles drenam.
![]() |
| Aorta e principais ramos. Em amarelo, os principais linfonodos: 1: renais; 2: aórticos; 3: ilíacos mediais; 4: hipogástricos; 5:sacrais. |
![]() |
| Veia porta e a localização de linfonodos abdominais: 1: hepático; 2: gástrico; 3: esplênico; 4: jejunais (mesentéricos); 5: pancreaticoduodenal; 6: cólico. |
Lembrando que quando há aumento de um linfonodo (ou grupo de linfonodos), é importante saber que região eles drenam para tentar localizar de onde vem a lesão/inflamação/infecção. As vezes encontramos alterações em algum órgão e quando os linfonodos regionais estão alterados, isso nos dá mais suporte para direcionar o tratamento.
Os linfonodos podem estar aumentados por inflamação local, migração de patógenos (fungos, bactérias, vírus, protozoários) e estimulação do sistema imune. Outra causa bastante comum de aumento de linfonodos são as neoplasias. O linfoma é um exemplo de neoplasia que causa aumento generalizado de linfonodos e merece um post inteiro só pra ele…
O linfonodo hepático fica caudal ao hilo do fígado (porta hepatis), ao longo da veia porta e drena fígado, estômago, duodeno e pâncreas.
O linfonodo esplênico fica ao longo da veia esplênica e do lobo esquerdo do pâncreas e drena fígado, baço, esôfago, estômago, pâncreas e omento.
O linfonodo gástrico fica próximo ao piloro e drena diafragma, fígado, esôfago, estômago, duodenon, pâncreas e peritônio.
O linfonodo pancreaticoduodenal fica entre o piloro e o lobo pancreático direito, perto da flexura cranial do duodeno e drena duodeno, pâncreas e omento.
Os linfonodos jejunais ou mesentéricos ficam ao longo dos ramos vasculares do mesentério e drenam jejuno, ceco e cólon.
O linfonodo cólico fica perto da junção ileocolica e mesocólon e drena íleo, ceco e cólon.
Os linfonodos aórticos lombares ficam ao longo da aorta e drenam rins, adrenais, bexiga, próstata e ovários/testículos.
Os linfonodos ilíacos mediais, hipogástricos e sacrais ficam na região de trifurcação da aorta, entre a artéria circunflexa profunda e artérias ilíacas externas (medial), medial às artérias ilíacas internas (hipogástrico) e ao longo da artéria sacral média (sacral).
Os valores normais de comprimento e largura dos linfonodos de cães e gatos ficarão pra um próximo post.
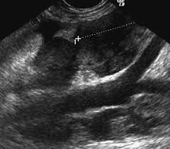
![]() |
| Linfonodo ilíaco medial aumentado e heterogêneo. |
![]() |
| Linfonodo ilíaco medial normal. |







Deixe um comentário
Você precisa fazer o login para publicar um comentário.